スタッフブログの記事一覧
今日のクリーニング

投稿日:2025年12月24日
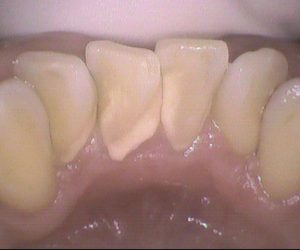
今日のクリーニングです🦷 下の前歯の裏側からみたお写真です📸 歯と歯の間や、歯ぐきのきわに歯石が多く付着していました。 クリーニングで歯石を取り除き、とてもきれいになりました […]
今日のクリーニング

投稿日:2025年12月17日
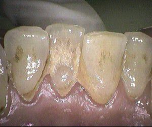
今日のクリーニングです。 クリーニング前 この方は約3年ぶりのクリーニングで、 下の前歯の間から根元にかけて歯石が多くついていました。 クリーニング後 […]
今日のクリーニング

今日のクリーニング

投稿日:2025年12月3日
今日のクリーニングです🦷 下の前歯の表側、裏側のクリーニング前後のお写真です📸 歯と歯の間や歯ぐきのきわには歯石が付着していて、 歯の表面にはステイン(着色)が […]
今日のクリーニング

投稿日:2025年11月26日
今日のクリーニングです。 クリーニング前 クリーニング後 3ヵ月毎にクリーニングにいらしている患者さんです。 下の前歯に歯石と磨き残しがありましたが しっかり除去して綺麗になりま […]
今日のクリーニング

今日のクリーニング

投稿日:2025年11月12日
今日のクリーニングです🦷 歯科医院は30年以上ぶりだという患者さんです。 下の前歯の表側と裏側のクリーニング前後のお写真です📸 歯と歯の間や、歯ぐきのきわには歯石が多く付 […]
今日のクリーニング

投稿日:2025年11月5日
今日のクリーニングです。 クリーニング前 クリーニング後 下の前歯と上の前歯の裏側の写真です。 ステインがとてもつきやすく、3ヵ月毎にクリーニングにいらしています。 ステインに加 […]
今日のクリーニング

今日のクリーニング

投稿日:2025年10月22日
今日のクリーニングです🦷 歯科医院は5年ぶりの患者さんです 下の前歯の表側、裏側のクリーニング前後のお写真です📷 歯と歯の間には歯石が付着しており、表面にはすこ […]


