今日のクリーニング
投稿日:2025年12月17日
カテゴリ:スタッフブログ
今日のクリーニングです。
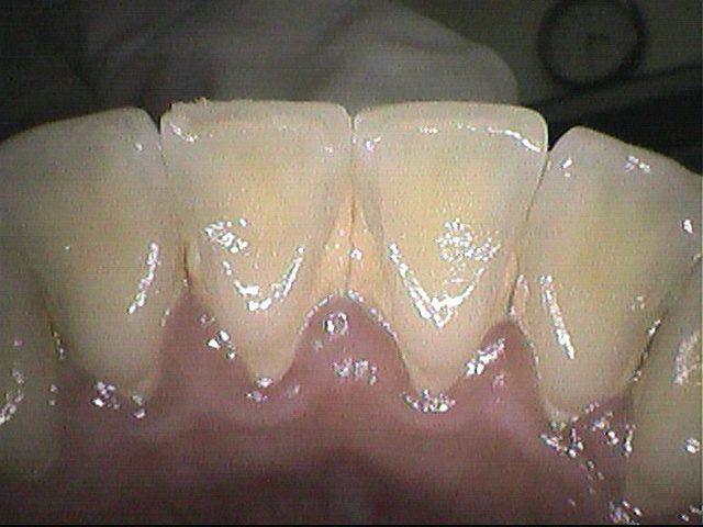
クリーニング前

この方は約3年ぶりのクリーニングで、
下の前歯の間から根元にかけて歯石が多くついていました。
クリーニング後

歯石や磨き残しによって歯ぐきの腫れが強く、出血がありましたが
なるべく痛くないように気を付けながら、できる範囲で除去しました。
歯と歯の間はむし歯や歯周病に特になりやすいですが、
歯ブラシでは汚れを取ることができません。
デンタルフロスをできれば一日一回夜寝る前に使用するのがおすすめです💁🏻♀️
世田谷区・千歳船橋で歯のクリーニング、歯科検診をご希望の方は、
ぜひ、千歳船橋歯科にお越しください🦷
■ 他の記事を読む■


