スタッフブログの記事一覧
今日のクリーニング

投稿日:2025年12月24日
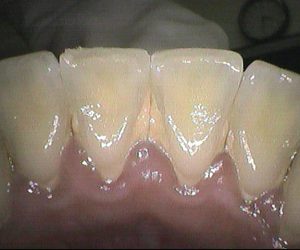
今日のクリーニングです🦷 下の前歯の裏側からみたお写真です📸 歯と歯の間や、歯ぐきのきわに歯石が多く付着していました。 クリーニングで歯石を取り除き、とてもきれいになりました […]
今日のクリーニング

投稿日:2025年12月17日
今日のクリーニングです。 クリーニング前 この方は約3年ぶりのクリーニングで、 下の前歯の間から根元にかけて歯石が多くついていました。 クリーニング後 […]
今日のクリーニング

今日のクリーニング

投稿日:2025年12月3日
今日のクリーニングです🦷 下の前歯の表側、裏側のクリーニング前後のお写真です📸 歯と歯の間や歯ぐきのきわには歯石が付着していて、 歯の表面にはステイン(着色)が […]


