スタッフブログの記事一覧
今日のクリーニング

今日のクリーニング

投稿日:2026年4月20日
今日のクリーニングです🦷 半年ぶりのクリーニングで来院された患者さんです。 下の前歯の表側、裏側からみたお写真です📸 歯の表面や歯と歯の間に歯石が付着していまし […]
今日のクリーニング

投稿日:2026年4月13日
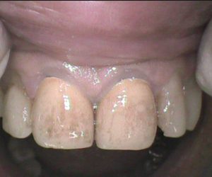
今日のクリーニングです。 クリーニング前 クリーニング後 数年ぶりにクリーニングにいらした患者さんです。 タバコやコーヒーによる着色、歯石、プラークがべったりと付着していました。 […]
今日のクリーニング



