今日のクリーニング
投稿日:2026年4月27日
カテゴリ:スタッフブログ
今日のクリーニングです
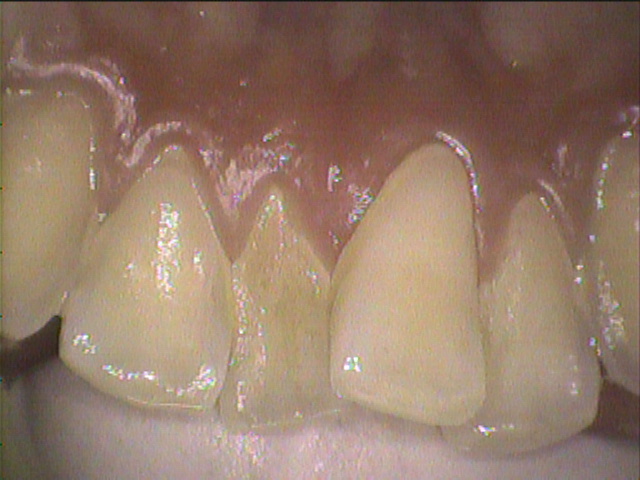
◎クリーニング前


⇩
⇩
⇩
◎クリーニング後


綺麗になりました✨
フロスをほとんど使えていなかったそうで、歯間部にプラーク(歯垢)と歯茎に炎症がありました。
歯と歯が重なっているところは歯ブラシが当たりづらいため、歯石やプラーク(歯垢)がつきやすい場所です。
歯間のお掃除をする習慣がない方は歯周炎のリスクが高くなってしまいます😰
歯周炎とは歯肉炎(一時的な歯肉のみに起こる炎症)が進行して、歯槽骨(歯を支える骨)が溶けてなくなってしまう病気です。
なるべく一日一回はフロスを使えるといいですね◎

世田谷区・千歳船橋で歯のクリーニング、歯科検診をご希望の方は、
ぜひ、千歳船橋歯科にお越しください
■ 他の記事を読む■


