今日のクリーニング
投稿日:2026年4月6日
カテゴリ:スタッフブログ
今日のクリーニングです。
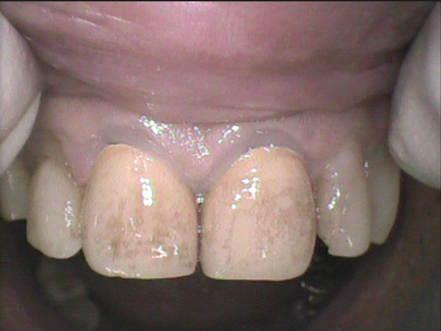
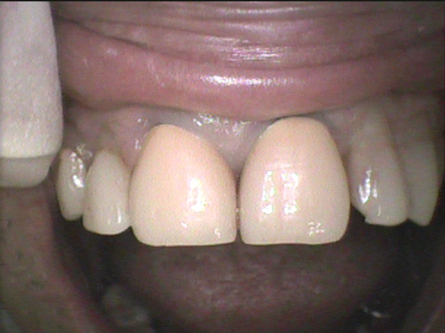
◎クリーニング前

上の前歯の表側のお写真

下の前歯の表側のお写真
⇩
⇩
⇩
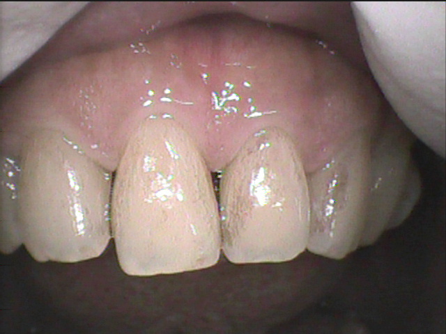
◎クリーニング後


綺麗になりました!😊
着色汚れ(ステイン)の原因は主にコーヒーや紅茶、お茶に含まれるポリフェノールです。
定着すると歯ブラシで磨くだけでは落ちなくなってしまいます。
歯科医院では専用の機械とクリーニングジェルを使って磨いて落としていきます🦷✨


世田谷区・千歳船橋で歯のクリーニング、歯科検診をご希望の方は、
ぜひ、千歳船橋歯科にお越しください
■ 他の記事を読む■


