今日のクリーニング
投稿日:2026年3月23日
カテゴリ:スタッフブログ
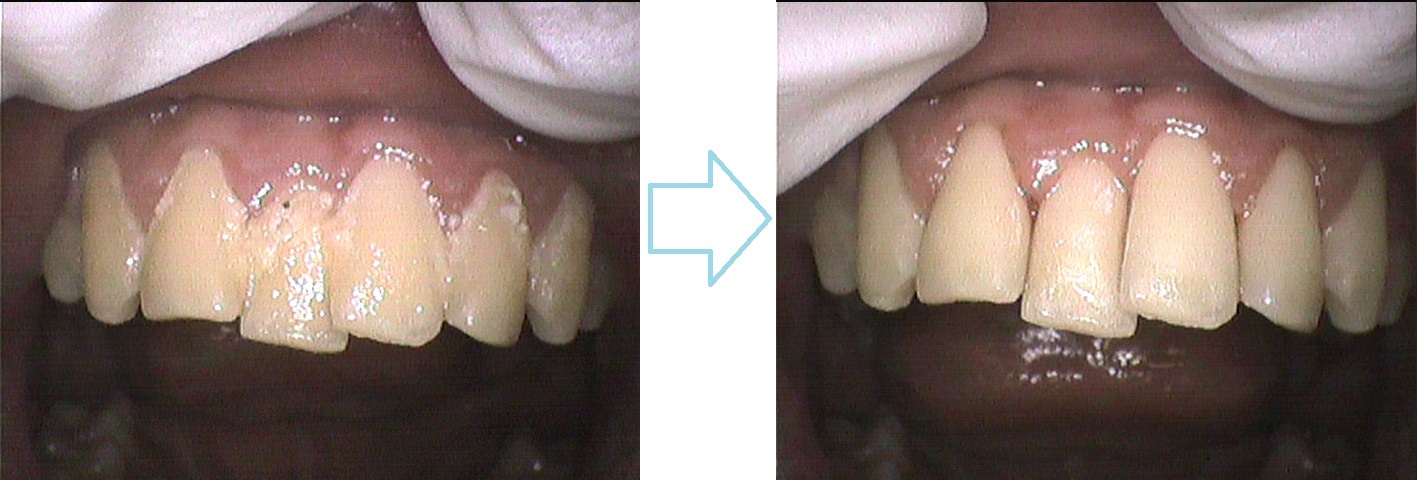
今日のクリーニングです🦷

下の前歯の表側と裏側からみたお写真です📸
歯と歯の間にプラーク(歯垢)や歯石が付着していました。
歯ぐきも少し腫れていて、触ると出血がありました。
クリーニングでプラークや歯石を取り除き、とてもきれいになりました✨

歯と歯の間は、特に磨き残しやすい場所です。
プラークや歯石がついたままになっていると、歯ぐきが腫れて出血したり、
歯周病を引き起こす原因にもなってしまいます😥
歯ブラシのみだとなかなかお掃除が難しいため、デンタルフロスや歯間ブラシなどを
使用するのがとても効果的です✨
世田谷区・千歳船橋で歯のクリーニング、歯科検診をご希望の方は、
ぜひ、千歳船橋歯科にお越しください🦷✨
■ 他の記事を読む■


