今日のクリーニング
投稿日:2025年11月12日
カテゴリ:スタッフブログ
今日のクリーニングです🦷
歯科医院は30年以上ぶりだという患者さんです。
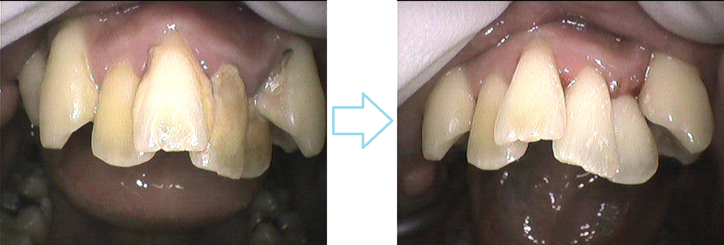
下の前歯の表側と裏側のクリーニング前後のお写真です📸
歯と歯の間や、歯ぐきのきわには歯石が多く付着しており、
歯ぐきも腫れてしまっていました。
クリーニングで歯石をしっかりと除去し、きれいになりました✨
歯石が長い間ついたままになっていると、歯茎が腫れ、歯周病を引き起こしてしまいます。
また、汚れもつきやすくなり、虫歯のリスクも高くなってしまいます😰
そのため、日々のセルフケアがとても大事です❗
歯と歯の間は歯ブラシでは届かず、特に磨き残しができやすい場所です。
デンタルフロスや歯間ブラシをできれば1日1回、夜寝る前などに使用するのがおすすめです✨

当院では、クリーニングの際にデンタルフロスや歯間ブラシの正しい使用方法についてもご説明させていただいています😊
世田谷区・千歳船橋で歯のクリーニング、歯科検診をご希望の方は、
ぜひ、千歳船橋歯科にお越しください🦷✨
■ 他の記事を読む■


