今日のクリーニング
投稿日:2025年11月26日
カテゴリ:スタッフブログ
今日のクリーニングです。
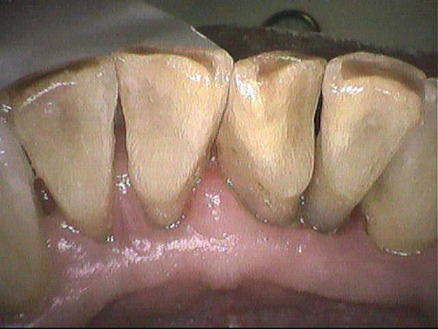
クリーニング前

クリーニング後

3ヵ月毎にクリーニングにいらしている患者さんです。
下の前歯に歯石と磨き残しがありましたが
しっかり除去して綺麗になりました。
セルフケアをがんばっていても、人によっては歯石が多くついてしまうことがあります。
歯ブラシでは除去できませんが、ついたままになっていると
歯周病の原因となってしまうので、定期的にクリーニングをしましょう。

世田谷区・千歳船橋で歯のクリーニング、歯科検診をご希望の方は、
ぜひ、千歳船橋歯科にお越しください。
■ 他の記事を読む■


